新加坡看牙到底有多贵?

牙齿是我们非常重要的器官
特别是对于吃货来说
要是美味佳肴摆在面前
但因为牙痛而不能吃
那简直就是对吃货的凌迟啊~


都说牙痛不是病
但痛起来要人命
估计很多小伙伴们都是活牙痛的滋味
感觉真的像是有虫子在啃食牙根
但无论用什么东西搓它捅它
想以暴制暴收拾它
最后还是疼得睡不着觉~

牙齿是很坚硬的东西
即使在人去世身体都被腐蚀得剩下骨头
但牙齿依然完好无损
千万年下来都不会被腐蚀
可这么坚硬的牙齿偏偏又很容易受伤
而且看牙医又是费用超高的
不仅牙齿痛荷包也要跟着痛~

在新加坡
许多人都跟牙医打过交道
也都知道看牙医的费用比工资还要高~
要是想炫富
大可以说看过牙医~
到底新加坡看牙医有多么贵?
椰子带大家看一看

首先我们看一下“菜单”
新加坡牙科都有哪些项目呢?
1、牙套
2、植牙
3、牙冠
4、假牙
5、纠正畸形
6、根管治疗
7、拔智齿
新加坡的牙科项目大致可以分为这7类

椰子将仔细列出每一个项目的介绍和价格
新加坡的牙科分为公立和私立
收费不一样~
牙套
大家应该都看过许多新加坡学生都有
带牙套的习惯
但是新加坡人习惯将带牙套
叫做“绑牙”
满大街都可以看到绑牙的学生妹~

绑牙就是为了纠正牙齿地方
可以改善整个面部轮廓
看起来更美丽~
椰子觉得带绑牙这项技术
可以被纳入微整形的行列了~
绑完牙的妹纸简直是脱胎换骨一般
凤姐都变志玲姐姐有木有~

在新加坡绑牙之前要
经历一个比较漫长的过程
首先要给医生检查是否适合绑牙
可不是你想绑就能绑的哦~

检查完了之后
医生会给你的牙齿倒模
然后照X光
再确定需不需要把多余的牙齿拔掉
(拔牙的费用另外算哦~)
最后可以选择自己喜欢的牙套样式和材质
等到医生认为牙齿的空隙适合
被拔的牙齿伤口恢复好了之后
就可以正式踏上绑牙的旅程了
绑牙的时长要视乎个人的生长

公立牙医平均价格:每个约$700~$800
私立牙医平均价格:每个约$2000
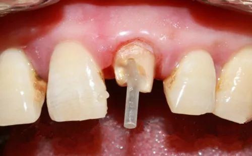
植牙
植牙就是用人工牙根代替坏死的自然牙根
是在安装假牙或假牙冠之前的一步

医生会把人工牙根植入到牙槽骨里
代替自然牙根成为牙冠的根基
等牙槽骨和人工牙根紧密结合后
就可以安装假牙冠了

看着痛不痛?
酸爽不酸爽?
连根拔起的感觉你一定意想不到
看完之后椰子下定决心
要好好保护牙齿
因为椰子既没钱又怕痛~

公立牙医平均价格:每颗牙齿约$2000
私立牙医平均价格:每颗牙齿约$4000
牙冠
牙冠属于假牙的一种
区别就在于不是整颗假牙
而是在原有的被打磨过的牙齿上
套上一颗人造牙齿
看起来就像真的牙齿一样~

牙冠分为烤瓷牙冠、全瓷牙冠、贵金属牙冠、不锈钢牙冠

厉害吧
一口金牙就是这么来的~
公立牙医平均价格:每颗牙齿约$700~$800私立牙医平均价格:每颗牙齿约$2000
假牙
假牙顾名思义就是假的咯~
大多数是上了年纪的安哥安娣会选择假牙
因为方便使用
而且治疗的过程没有那么痛苦~
一般假牙都是一整排或者全口的模式

这样拆卸就很方便了
但戴了假牙就不可以有大动作哦
不然整排假牙掉出来就很好笑了~

公立牙医平均价格:每排约$700
私立牙医平均价格:每排约$1000
纠正畸形
牙齿畸形可能是牙齿太多挤在一起不好看
有可能是旧的没掉新的长出来导致移位了
牙齿畸形会导致左右脸不对称的现象

一般牙齿畸形都出现在儿童时期
多以家长大多数都会带孩子去纠正
这样笑起来就没那么奇怪~

公立牙医平均价格:约$3000~$5000
私立牙医平均价格:————————
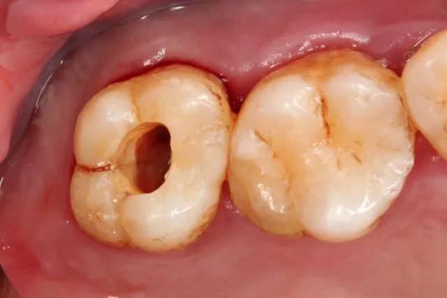
根管治疗
根管治疗的另一个名字叫牙髓治疗
牙髓治疗是把部分或全部
受感染或坏死的牙髓组织清除
然后把牙髓填封
清除牙髓腔的细菌
阻止牙髓感染蔓延至牙周组织和牙槽骨
以免这些组织受破坏
并使牙齿得以保存

对于未能以一般补牙修复的蛀牙
根管治疗可尽量保留自然牙
因而与拔牙术互补

新加坡对于根管治疗
分得很清楚
其中包括:
前牙、臼齿和前臼齿三种
对于前牙

公立牙医平均价格:每颗牙齿约$350
私立牙医平均价格:每颗牙齿约$500~$800
对于臼齿

公立牙医平均价格:每颗牙齿约$800
私立牙医平均价格:每颗牙齿最高约$1600
对于前臼齿

公立牙医平均价格:每颗牙齿约$500
私立牙医平均价格:每颗牙齿约$500~$800
拔智齿
智齿这个东西不是每个人都会长的~
经过人类那么多年的进化
有的人已经不会长智齿了
智齿是长在嘴巴上下最里面的4颗
而且是长得东倒西歪

长智齿是非常痛苦的事情
有可能会让脸肿成一个包
有的还会因为长智齿发烧
有的会因为智齿感染炎症等等
所以一旦发现自己长智齿
而且非常不舒服的时候
就一定要去拔掉


公立牙医平均价格:每颗牙齿约$600~$800
私立牙医平均价格:每颗牙齿约:$700~$1500
以上就是所有牙科项目的介绍和价格
当椰子了解完牙齿的知识之后
真的要奉劝各位朋友
记得多刷牙!
保护好珍贵的牙齿
其实定期检查牙齿是非常有必要的!
平时不舍得花小钱
有事了就要花大钱了
还要挨刀子
多不值得~

推荐阅读
在新加坡月入6000新币,老婆却还总抱怨,大家都这样吗?
新加坡公民 VS 新加坡永久居民
在新加坡就是嫌你穷跟你分手的啊...
新加坡绿卡,到底怎么申请才容易被批准?
听说你住在全球第一贵的新加坡,每天还美滋滋的?
李显龙总理突然访华,新加坡给中国发了条微信……
无愧世界第一,樟宜机场今日启用第四航站楼,牛!
为了一张新加坡绿卡,我差点失去了她和生活
新移民第一代真的被牺牲了吗?不,牺牲的其实是两代人
用鸡血freestyle总结新加坡总理李显龙在华干了啥!
宝妈投诉,新加坡一间幼儿园疑虐待儿童
刚来新加坡的时候,你有说过 I am coming吗?嘿嘿嘿嘿嘿……
在新加坡逛超市,总有好污好奇葩的想法……
为什么这只动物在新加坡火了?

评论