赞!在国内朋友圈刷屏的“一号方”,新加坡终于有了
截至北京时间4月15日22时
全球新冠肺炎
累计确诊病例 超200万

来源:澎湃新闻
疫苗,还在做人体测试
最乐观的估计也要
今年9月才可能面世
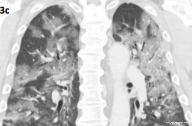
最近,新加坡首次公开扫描影像
在我们的朋友圈刷屏了
新冠肺炎患者肺部出现“碎石路”阴影
图源:樟宜综合医院的研究团队
对于新冠肺炎,尚不清楚
会不会有“后遗症”
会有怎么样的“后遗症”?
以往,在对抗肺炎流行病的过程中
表明有些药物的副作用
会导致诸多的疾病隐患
所以,有一点可以肯定
大家都想要健健康康
远离这类疾病!

图源:ASC
在新加坡高密度感染的今天
想必除了佩戴口罩
保持安全距离
宅家运动、健身之外
大家一定都会思考
“
有什么方式可以帮助
自己和家人提高自身抵抗力?
”

中国的国粹之一
中医 治疗未病
预防重于治疗
中药,在中国的防疫过程中
起到了很大的助力作用

火遍国内朋友圈的
中药“一号方”,你也听说过吗?
选用当季优质药材代茶饮
遵照原配方零变动
终于在新加坡也可以买到了!
一号方·代茶饮 功效:清热\祛湿\益气生津
此代茶饮方药性平和 针对发热,咳嗽,咽喉痛 每天泡一包 驱邪,不伤正 清热解毒,不伤气


纯天然草本配方 苍术 | 金银花 | 陈皮 芦根 | 桑叶 | 黄芪

黄芪益气充卫,以使正气充沛,卫表得固,拒邪侵入 桑叶甘凉轻清,疏散上焦风热,清泻肺热 陈皮健脾化痰,理气和中

规格:一袋包含10小包,12.5克/小包
用法用量:每次1小包,一日两次
(每小包可冲泡三至四次)
跟传统的碎茶相比
草本茶不是粉末状,原料看得见
都是地道草本原材料
健康丝绸包,更方便饮用
此方做成代饮茶
省去了煲药煎药的麻烦
如花茶般轻松泡饮,即冲即饮

所有精华共凑健脾益气
每日一饮,可起到扶正驱邪
解表清热的功效!
胃部寒凉的小伙伴
服用时可添加生姜红枣或者枸杞
暖胃同时扶正气
驱寒补气血

一号方,每袋含10小包独立茶包
一天一小包
可供一家4-6人共享
更适合仍然辛苦在前线
essential services的英雄战士们共享
等于每天不到3块钱
每人五毛钱,抵抗力up!

价格仅29.8/袋!
(10小包)
椰友特别福利
01
买1袋,就包邮!
*包邮方法:长按并且扫描
文末的二维码购买商品
结算时,输入包邮折扣码:
8VMZ
02
买2袋,免费送价值12.8新币的
艾草精华酒精除菌喷雾一支!
03
买3袋,免费送一袋茶饮
再送 价值12.8新币的
艾草精华酒精除菌喷雾一支!

*本活动最终解释权归商家所有

长按并且扫描二维码
购买赶快购买吧!
【免责声明】 本文内容由草本时尚提供 不代表新加坡狮城椰子的观点和立场
评论