小坡岛科研 医学生们小心啦!AI又来和你们抢工作啦
编者按
为简化癌症研究人员的工作,SUTD的学生团队搭建了一个多功能的,利用人工智能来提高效率的数字组织病理学平台 Quire。其识别组织切片的速度大约是人类识别速度的1,500倍,可以大大提高研究人员在检测上的速度。
1
组织切片与癌症
活体组织切片,是指从动物或人类身上取下少量活组织作病理学诊断的一种检查方法。活检对肿瘤的临床诊断有重要意义,不仅可以确定其组织分类,还可确定其为良性或恶性,为治疗提供非常可靠的依据。

肝组织切片,来源:MEDLIVE
通常,研究人员会采取手术切除、内视镜或针头穿刺吸取等方式,在身体中取出组织切片后交给病理专家。在显微镜观察下,病理学研究人员可以检测肿瘤细胞的发生与发展状况,也可用来确认手术切除是否完全。

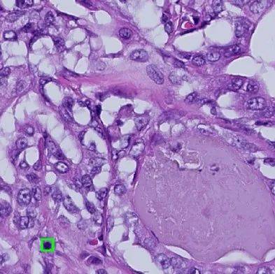
框出的“斑点”可能代表组织产生病变,来源:SUTD
2
组织切片的瓶颈
虽然组织切片(病理诊断)是目前肿瘤诊断方式中最高级别、最可靠的诊断方式,但其同时也面临着不少难处。
病理诊断需要经过基础处理、制作切片、染色、显微镜观察、进一步诊断等步骤,而其中显微镜观察则是最核心的步骤。一位病理学研究人员观察一个组织切片一般是三个小时起步,如果结构较为复杂或者切片较大可能需要大半天。这个过程非常繁琐且耗时,往往会占用研究人员大量的时间。

研究人员在观察切片,来源:SUTD
除此以外,观测的精度也会有一定的误差。正在进行有丝分裂的细胞通常只有10微米宽,相当于一根头发丝的两百分之一。研究人员在手动注释边界时可能会出现疏漏,导致结果并不准确。
3
Quire
为简化癌症研究人员的工作,SUTD的学生团队搭建了一个多功能的,利用人工智能来提高效率的数字组织病理学平台 Quire。

Quire的研发团队,来源:SUTD
研发团队的成员之一Krishna曾经在Qritive实习。该公司正在研发临床级AI系统,以增强癌症的组织病理学诊断,并协助医生为患者提供更准确和有针对性的诊断。

Qritive官网,来源:Qritive
Krishna介绍到,癌症是全球第二大死因。“但是,由于癌症这个问题过于广泛,癌症研究并没有一个代表性成果。因此,说癌症的研究人员太少其实并没有夸大其词。”研发团队认为有必要提高癌症研究的效率,于是在聘请Qritive担任行业指导后,Qurie诞生了。
实验团队通过巨大的数据库来训练Quire划分癌症细胞区域和确定有丝分裂细胞数量的速度和准确性。在进行完这两个步骤后,Quire会将结果合并并计算出有丝分裂活动指数(MAI),其为确定肿瘤为良性还是恶性的重要指标之一。

Quire 界面,来源:SUTD
相比肉眼观察切片,Quire的速度就快多了,其观察、分析速度相当于人类的1500倍。同时,其精度与人类相当,甚至在划分边界时优于人类!有了Quire,分析效率可以大大提升,而更多的研究人员就可以把经力投入到花在癌症领域内有意义的发现上,而非简单的重复操作。
其实,AI在医学上已经得到的广泛的运用,除了像Quire这样进行影像识别的人工智能以外,更多的AI也在病情诊断、云病例平台、手术操作等领域发挥着重大的作用。

AI诊断,来源:达科技
不过,就算医疗人工智能虽然先进,目前其也只能应用于医疗辅助领域,更多的研究、研发事务仍然由人类来承担。不过,随着医学的发展,要是医生们研究清楚了人脑的结构,是否能真正造出和人类无差异的机器人呢?这或许就是下一个工业改革的命题吧!

觉得内容还不错的话,给我点个“在看”叭
评论